Skip to content
AuManufacturing
AuManufacturing
X page opens in new window
Linkedin page opens in new window
YouTube page opens in new window
About Us
@AuManufacturing
Contributor Guidelines
Contact
Manufacturing News
Defence Industry
Technology
Podcast
Video
Our Services
Find a Consultant or Supplier
Events
@AuManufacturing value-added services
Advertise
Search:
Search
About Us
@AuManufacturing
Contributor Guidelines
Contact
Manufacturing News
Defence Industry
Technology
Podcast
Video
Our Services
Find a Consultant or Supplier
Events
@AuManufacturing value-added services
Advertise
Category Archives:
Technology
You are here:
Home
Category "Technology"
Technology
Technology
10 Dec 2024
Gov gives quantum computing a major funding boost
Staff Reporter
Manufacturing News
10 Dec 2024
AI centre opens to foster trusted AI
Staff Reporter
Manufacturing News
10 Dec 2024
Calix raises $25 million to speed low carbon commercialisation
Staff Reporter
Manufacturing News
10 Dec 2024
Technegas’ new use in lung transplant imaging
Staff Reporter
Technology
9 Dec 2024
Tivan gets grant, major project status for Speewah
Staff Reporter
Manufacturing News
9 Dec 2024
Nuclear has a ‘lack of economic advantage’ – CSIRO
Staff Reporter
Manufacturing News
9 Dec 2024
Iluka and government agree to fund $1.7bn rare earths refinery
Staff Reporter
Manufacturing News
8 Dec 2024
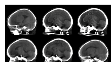
Micro-X’s first 3D images from micro Head CT scanner
Staff Reporter
Defence
7 Dec 2024
Kongsberg breaks ground on missile manufacturing facility
Staff Reporter
Manufacturing News
6 Dec 2024
Breakthrough Victoria invests in AI sensor company
Staff Reporter
Defence
6 Dec 2024
Defence to buy HIMARS or locally made Thales StrikeMaster
Staff Reporter
Defence
6 Dec 2024
Aurora Labs secures defence contract for aircraft turbine
Staff Reporter
Prev
1
…
9
10
11
12
13
14
15
…
263
Next
@aumanufacturing Sections
Analysis and Commentary
Awards
casino reviews
Defence
Gambling
Manufacturing News
Online Casino
Podcast
Technology
Videos
Stay Informed
Join the conversation at the Australian Manufacturing Forum, the nation’s largest online discussion group for manufacturers.
Join the conversation.
Keep on top of what’s going on with @AuManufacturing’s free newsletter every Monday, Wednesday, Friday.
Subscribe now.
Go to Top